Hay mucho en juego, clínica y económicamente. Acelere la eficacia clínica con innovadoras ofertas de ecocardiografía que se esfuerzan por ayudar a que los equipos asistenciales trabajen de forma más inteligente, antes, durante y después de los procedimientos.
Ahora más que nunca, la nueva normalidad está planteando nuevos desafíos a los servicios de ecocardiografía para que aumenten la calidad asistencial, así como el número de pacientes que atienden; y todo ello de forma más eficiente.
Trabaje de forma más inteligente; y colabore con Philips.
Estamos aquí para usted: ofrecemos resultados de calidad de forma más coherente con herramientas avanzadas de visualización y cuantificación, automatizamos tareas repetitivas con IA y proporcionamos información detallada donde y cuando más lo necesite.

Los nuevos avances en IA y automatización avanzada, junto con una gestión inteligente de la información, facilitan la evaluación de la función cardiaca con técnicas ecocardiográficas. Tres médicos líderes del sector explican cómo.
La prevalencia mundial estimada de insuficiencia cardiaca es de 64,3 millones de casos, con una carga económica de 346 160 millones de dólares estadounidenses.1 Claramente, se necesitan nuevas respuestas.
1 Lippe G, Sanchis-Gomar F. Global epidemiology and future trends of heart failure. AME Med J. 2020;5:15.
Descubra cómo las soluciones inteligentes de Philips permiten que los equipos de atención sanitaria trabajen con mayor eficacia en técnicas de ecocardiografía desde el momento en que un médico solicita el examen hasta la finalización, facturación y remisión del estudio.
Un único punto de acceso a imágenes e información en cualquier momento y prácticamente en cualquier lugar.* Realice análisis, cuantificaciones e informes completos para una toma de decisiones rápida e informada.
Reduzca los costes de implementación y ahorre tiempo a la vez que interactúa con los sistemas existentes gracias a nuestra tecnología de impresión cero e interoperabilidad.
El diálogo abierto y la colaboración continua son aspectos fundamentales para avanzar en el flujo de trabajo de la ecocardiografía. Descubra las experiencias de sus compañeros en su asociación con Philips.
Esto es lo mejor de Collaboration Live: puedo atender los estudios de interpretación del laboratorio y, al mismo tiempo, ayudar a los cirujanos cuando quieren hablar conmigo antes de una cirugía.”
Dra. Pei-Ni Jone
Catedrática de Pediatría, Pediatric Cardiology Children's Hospital Colorado, Facultad de Medicina de la Universidad de Colorado, Aurora, Colorado, Estados Unidos
Stay on top of what’s happening in cardiac diagnostics by partnering with Philips. You’ll find a host of useful resources to keep you up to date.

Dr. Roberto Lang, University of Chicago, Chicago, Illinois USA
Implicaciones cardiacas de la COVID-19
Las herramientas de deformación automatizadas pueden simplificar la evaluación de la función ventricular derecha, con el consiguiente impacto en los protocolos asistenciales de los pacientes con COVID-19.

Dr. Teresa Lopez-Fernandez, La Paz University Hospital, Madrid, Spain
Uso de herramientas ecográficas avanzadas para evaluar la disfunción cardiaca asociada a tratamientos oncológicos
Los métodos que consumen mucho tiempo se ven superados por el sistema de ultrasonidos con inteligencia anatómica (AIUS) de Philips en lo que respecta a la prevención de la cardiotoxicidad.

Dr. Pei-Ni Jone. Children’s Hospital Colorado. Aurora, Colorado
Ampliación del acceso a la experiencia en ecocardiografía
Gracias a Collaboration Live, los facultativos pueden revisar imágenes y brindar asistencia en tiempo real sin necesidad de estar físicamente presentes.

Miami Cardiac & Vascular Institute, Baptist Health South Florida, Miami, Florida USA
Asociación en innovación basada en datos
Hacer que los datos sean transparentes para todos y crear un entorno en el que se puedan debatir los resultados ayuda a formar equipos sólidos.

Professor Alex Lee, Prince of Wales Hospital, Hong Kong, China
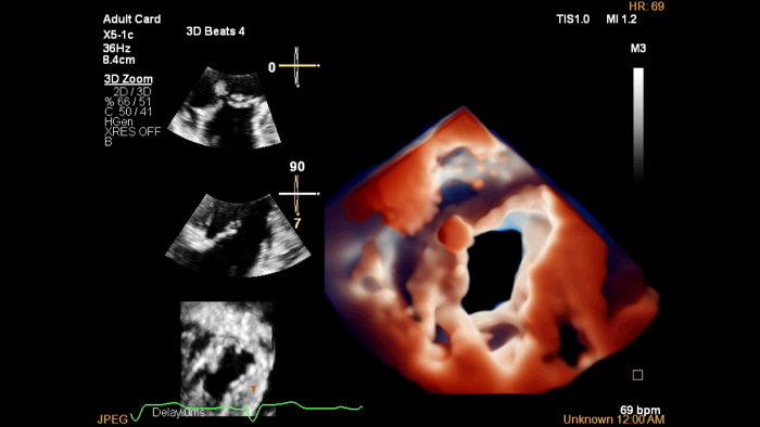
Imágenes realistas en ecocardiografía 3D
Una fuente de luz virtual resalta las estructuras y facilita la percepción de profundidad para una mejor interpretación de las imágenes de enfermedades cardiovasculares.

Prof. José Luis Zamorano. Vicepresidente de la Sociedad Europea de Cardiología y Jefe de Servicio de Cardiología Hospital Ramon y Cajal. Madrid
La atención cardiovascular verdadera comienza con el corazón, pero mira más allá de la enfermedad.
Al centrarnos en las personas en el centro de la asistencia sanitaria, ayudamos a dar vida a un ecosistema integral y rentable que realmente ofrece una atención cardiovascular centrada en las personas.
Descubra más formas en las que podemos ayudarle a gestionar sus pacientes cardiológicos con mayor calidad y eficiencia durante todo el proceso asistencial.
You are about to visit a Philips global content page
ContinueLa información de esta página web está dirigida exclusivamente a profesionales sanitarios. Al hacer clic en "Aceptar", declara que es profesional sanitario.
Haga clic en "Cancelar" para ser redirigido a la página web de Philips.