Su ligereza y diseño ergonómico facilitan un escaneo continuado y su resistencia permite que Lumify pueda trabajar en cualquier lugar del mundo Lumify in Antarctica.
Escoja uno de estos tres Eco-transductores para adaptarse al tipo de examen que va a realizar.

La configuracion Pulmon optimiza los ajustes de la aplicación para resaltar los artefactos asociados a la imagen pulmonar y facilita la visualizacion del deslizamiento del pulmon en el area pleural. Los algoritmos y tecnicas de mejora de imagen (imagen armonica, Sono CT, XRes) son desactivados para mejorar la imagen especifica como las lineas A y lineas B.


La configuracion de partes blandas está diseñada para optimizar la calidad de imagen en mamas, tiroides y testiculos. Esta optimizacion potencia la resolucion de contraste y detalles asociados a las necesidades de imagen en tejidos blandos. La optimizacion de la sensibilidad de color permite la deteccion detallada de pequeños flujos de sanguineos para aplicaciones como descartar torsion testicular.


La configuracion para Vesicula Biliar está optimizada para ofrecer una buena penetracion y excelente resolucion en la imagen de vesicula. Esta aplicación es ideal para detectar patologia como engrosamiento en las paredes o piedras en la vesicula.


La configuracion Pulmon optimiza los ajustes de la aplicación para resaltar los artefactos asociados a la imagen pulmonar y facilita la visualizacion del deslizamiento del pulmon en el area pleural. Los algoritmos y tecnicas de mejora de imagen (imagen armonica, Sono CT, XRes) son desactivados para mejorar la imagen especifica como las lineas A y lineas B.


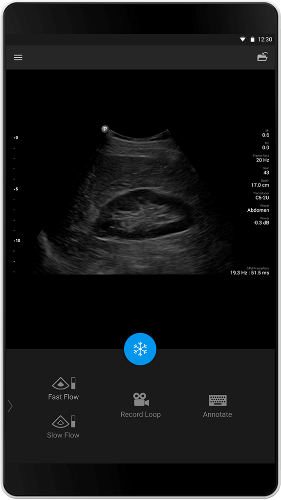
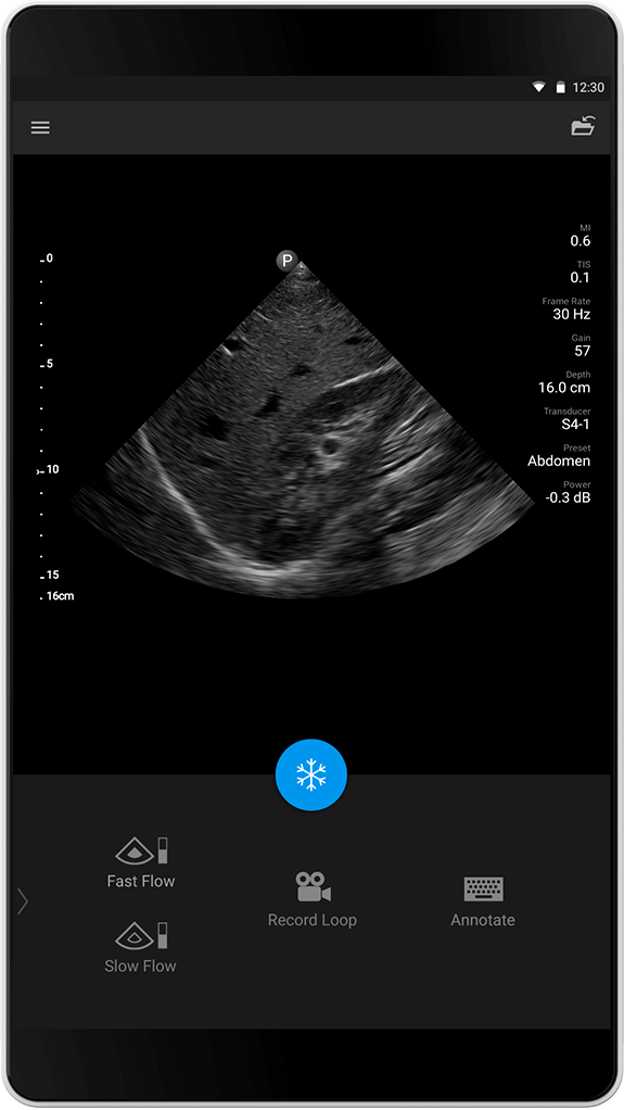
El preset de Abdomen está optimizado para ofrecer una potente penetración para un examen abdominal versatil. La optimizacion de la codificacion de los Flujos en Color en esta configuracion permite la identificacion rapida de los flujos en las arterias abdominales asi como los flujos lentos de organos como los riñones.


La configuracion Pulmon optimiza los ajustes de la aplicación para resaltar los artefactos asociados a la imagen pulmonar y facilita la visualizacion del deslizamiento del pulmon en el area pleural. Los algoritmos y tecnicas de mejora de imagen (imagen armonica, Sono CT, XRes) son desactivados para mejorar la imagen especifica como las lineas A y lineas B.


El preset de Abdomen está optimizado para ofrecer una potente penetración para un examen abdominal versatil. La optimizacion de la codificacion de los Flujos en Color en esta configuracion permite la identificacion rapida de los flujos en las arterias abdominales asi como los flujos lentos de organos como los riñones.


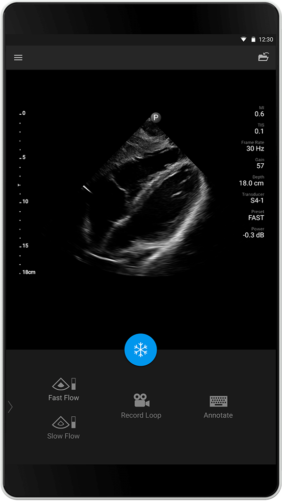
La configuracion FAST está especialmente diseñada para esta aplicación ecográfica. Examenes FAST (Focused Assessment with Sonography for Trauma). Este perset ofrece una gran penetración y mejora la visualizacion de fluido suelto en el abdomen para facilitar un diagnostico rapido y fiable.


La configuracion ECHO está desarrollada para examenes cardiologicos de alta calidad, con alta penetracion para asegurar el diagnostico en pacientes tecnicamente dificiles. La imagen armonica de tejidos permite una visualizacion detallada del flujo de llenado de las camaras cardiacas asi como la estructura tisular del corazón. La configuracion de la Codificación de Flujos en Color está adaptada para flujos rápidos para una rápida visualización de la funcion cardiaca.

Lumify ofrece imágenes ecográficas de alta calidad para ayudar a la toma de decisiones rápidas y fiables en medicina de emergencias y cuidados críticos. Los algoritmos avanzados de imagen ajustan automáticamente los parámetros creando una imagen de alta resolución. El ajuste fino puede realizarse a través de una interfaz multi-táctil simple e intuitiva que actúa sobre la profundidad, ganancia, potencia y ajuste de color.
You are about to visit a Philips global content page
ContinueLa información de esta página web está dirigida exclusivamente a profesionales sanitarios. Al hacer clic en "Aceptar", declara que es profesional sanitario.
Haga clic en "Cancelar" para ser redirigido a la página web de Philips.