Hoy en día en el mundo de la cardiología, hay una importante presión en la implementación de soluciones de imagen innovadoras, sin comprometer las eficiencias de los flujos de trabajo, diagnóstico y tratamiento o del cuidado del paciente. Las soluciones de ecocardiografía de Philips ofrecen excelencia en cuanto a funcionalidades y rendimiento para ayudar a mejorar la calidad en la atención médica y los flujos de trabajo en los servicios de cardiología – permitiendo ofrecer un excelente cuidado y atención a cada paciente.
Rellene el formulario y se pondrán en contacto con usted.
El Philips EPIQ CVx* es una solución ecocardiográfica dedicada que trae consigo importantes y significativos avances en sus funcionalidades.
Philips EPIQ CVx – con su ultimo lanzamiento 5.0 – es una solución de ecocardiografía dedicada con un altísimo rendimiento que combina la experiencia de Philips en la cardiología con la probada experiencia en cuantificación de TOMTEC. Da apoyo en la expansion de las capacidades, ayudando a mejorar los flujos de trabajo cardiovasculares y mejorar la calidad de la atención médica.
TrueVue
Para una visualización mejorada de la anatomía cardíaca en las ecografías transtorácicas y transesofágicas, Philips TrueVue con su fuente de luz virtual hace mucho más simple el visualizar la localización de defectos y la comprensión de su profundidad en la estructura cardíaca
Dynamic HeartModelA.I.**
Philips HeartModelA.I. es una herramienta 3D que ofrece una EF sólida y reproducible en segundos de forma rutinaria. Dynamic HeartModelA.I. muestra contornos en movimiento para los volúmenes del ventrículo (LV) y aurícula izquierdos (LA)
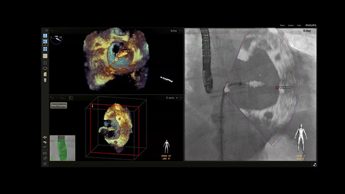
EchoNavigator con Inteligencia Anatómica
Para mejorar la comprensión de las estructuras anatómicas, catéteres y la localización de dispositivos durantes los procedimientos de intervención cardíacos, el Philips EPIQ CVxi* habilita el soporte de decisiones multimodalidad
AutoStrain
TOMTEC AutoStrain ofrece una solución simple con un botón de presión mediante Auto View Recognition y Auto Contour Placement entrenado en más de 6000 imágenes para garantizar la máxima robustez en el sistema. AutoStrain ofrece una rápida y reproducible medida del GLS de forma rutinaria.
La función cardíaca puede afrontarse de diversas formas, usando una serie de modalidades de adquisicón de imagen. Los ultrasonidos proveen una forma eficientes en costes y robusta en cuanto a las estructuras móviles cardíacas se refiere sin necesidad de radiación.
Philips HeartModelA.I. es una herramienta 3D que permite tiempos de exámenes rápidos, flujos de trabajo eficientes y una amplio abanico de aplicaciones. Detecta de forma automática, segmentos y cuantifica el ventrículo izquierdo (LV) y la aurícula izquierda (LA) a partir de imágenes 3D.












*EPIQ CVx/CVxi solo está disponible en algunos países. Consulte a su representante de Philips para obtener más información. **Inteligencia anatómica
You are about to visit a Philips global content page
ContinueLa información de esta página web está dirigida exclusivamente a profesionales sanitarios. Al hacer clic en "Aceptar", declara que es profesional sanitario.
Haga clic en "Cancelar" para ser redirigido a la página web de Philips.